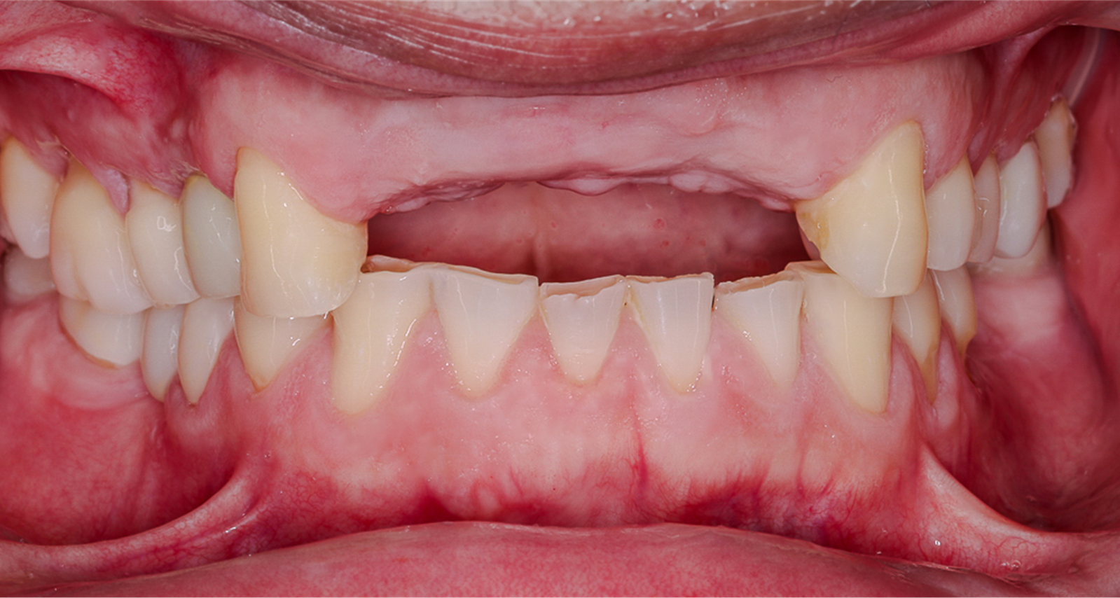
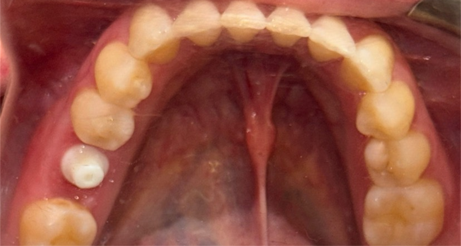
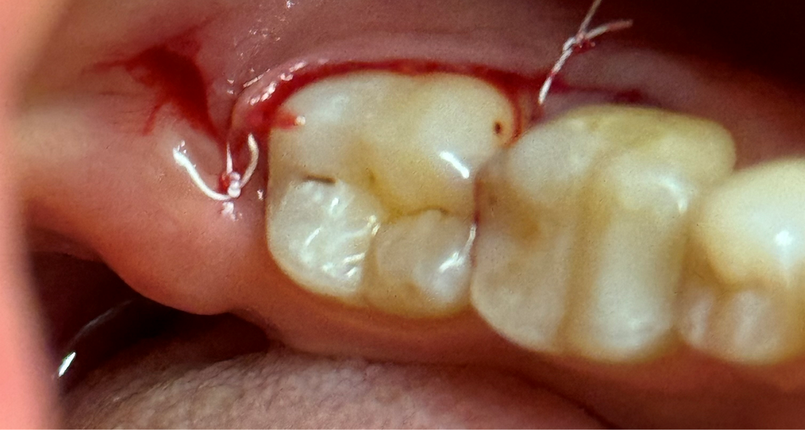
Case Gallery -
Guided Open Wound Healing (GOWH)
Case Gallery -
Guided Open Wound Healing (GOWH)
This Case Gallery presents the work of Ghanaati-Education certified centers. All surgical cases shown here were performed in accordance with the Guided Open Wound Healing (GOWH) concept, developed by Professor Shahram Ghanaati. Every patient has provided written consent for their case to be displayed on the Ghanaati-Education homepage. Unauthorized use or reproduction of this material is strictly prohibited and will be subject to legal action.





